朗格汉斯细胞组织细胞增生症影像诊断

2023-4-16 08:45| 发布者: fuwanbiao| 查看: 104| 评论: 0

摘要: 来源:浙江影像诊断与介入重点实验室病例(女性,10岁)主诉:左上臂疼痛2月余。实验室检查:1.血常规未见明显异常。2.肿瘤标志物未见明显异常。既往史:无明确外伤史及手术史查看原始影像数据病例结果诊断思路临床 ...

来源:浙江影像诊断与介入重点实验室


病例(女性,10岁)


主诉:左上臂疼痛2月余。


实验室检查:


1.血常规未见明显异常。


2.肿瘤标志物未见明显异常。


既往史:无明确外伤史及手术史


查看原始影像数据


病例结果


诊断思路


临床特点:10岁女童,病程较短,临床表现及实验室检查无特异性


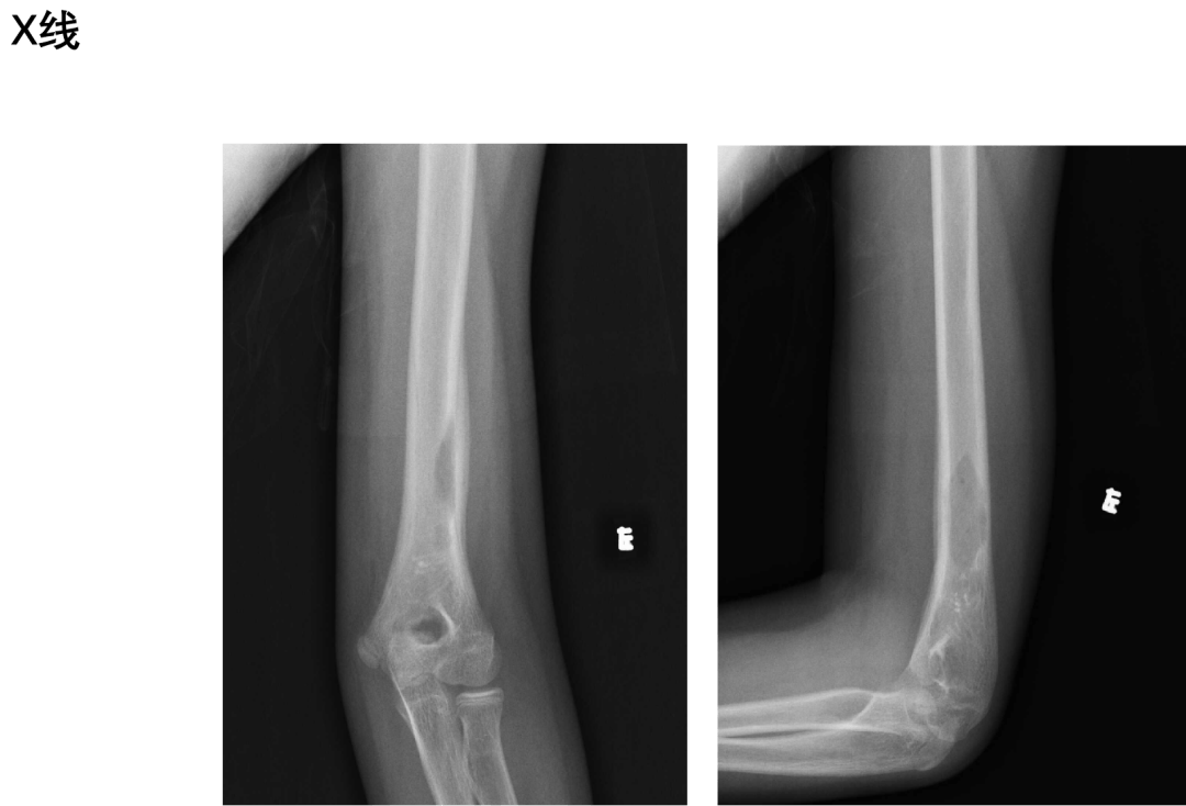
影像表现:


1.定位:左肱骨下段,单发,较局限


2.骨质破坏方式:溶骨性骨质破坏,穿透骨皮质


3.病灶密度;相对均匀,无肿瘤骨、死骨形成,无钙化及脂肪成分


4.病灶边缘:清晰,无硬化边


5.骨膜反应:有


6.信号特点:T1WI呈等低信号,T2WI高信号为主,伴临近骨质及周围软组织水肿,增强扫描不均匀强化,无增粗供血动脉及异常引流静脉


病理结果


  1. (左肱骨下段肿瘤内组织、左肱骨下段骨肿瘤组织) 朗格汉斯细胞组织细胞增生症。 免疫组化结果: CDla(+),Langerin(+),S-100(+) ,CD68(部分+),CD163(-),CD138(-),VS38C(-),CD5(-),CD20(-),Ki-67+(约25%)。
  2. (左肱骨下段肿瘤周围组织)送检横纹肌组织及增生纤维组织,伴有淋巴细胞、浆细胞浸润。

朗格汉斯细胞增生症


朗格汉斯组织细胞增多症(LCH),是一组原因未明的组织细胞增生性疾患,朗格汉斯细胞(LC)增生是其共同的组织病理学特点,而临床上是一组异质性疾病 。目前认为是LCH是一种炎性髓系肿瘤。


分为 嗜酸性肉芽肿、韩-薛-柯病、勒-雪病三个亚型 。


主要特点:骨质破坏、良性局限性组织细胞增生和嗜酸粒细胞浸润。


病理特点


主要是大量组织细胞增生,嗜酸性粒细胞浸润


病理过程分为3个阶段:


l期:为朗格汉斯细胞集聚和增生期


Il期:为肉芽肿期


III期:为退缩期,常有结缔组织增生、纤维化及骨化


其病变发展过程符合炎症的基本病变过程,即炎症充血渗出—肉芽肿形成—纤维化修复3期改变。


病理检查是确诊本病最可靠的依据,尤其是免疫组化 CD1a和(或)CD207(Langerin)阳性是诊断本病的“金标准”


分型


嗜酸性肉芽肿( 局限性):占LCH中70%,通常单一的骨或少量骨,90%的患者发生在5-15岁之间


韩-薛-柯病( 多灶-单系统):多灶性骨损伤,主要是浸润网状内皮系统和皮肤,患者多发生于1~5岁,为慢性复发疾病


勒-雪病( 多灶-多系统):爆发性侵犯网状内皮系统的患者,一般发病年龄小于两岁


嗜酸性肉芽肿最轻,预后最好。


·END·


全网最全的解剖图库,千万不要错过


300+神经、头颈系统超全影像文章汇总


全网最全头颅影像解剖学,不容错过(更新版)


全网最全大关节影像解剖,不容错过(更新版)


影像科急诊必备手册,必点收藏


脊柱、脊髓解剖及常见疾病汇总(41篇)


乳腺解剖及影像学检查详细汇总


心胸系统文章汇总(132篇)


全网最全全身X线高清图谱


更多精彩医学影像内容,尽在鼎湖影像


权威医学影像公众号,欢迎您的关注↓↓


↓↓ 欢迎进入鼎湖学堂



路过

雷人

握手

鲜花

鸡蛋
版权声明:免责声明:文章信息来源于网络以及网友投稿,本网站只负责对文章进行整理、排版、编辑,是出于传递 更多信息之目的, 并不意味着赞同其观点或证实其内容的真实性,如本站文章和转稿涉及版权等问题,请作者在及时联系本站,我们会尽快处理。
已有 0 人参与

会员评论

 万奢网手机版

官网微博:万奢网服务平台

今日头条二维码 1 微信公众号二维码 1 抖音小程序二维码 1
上海万湖珠宝贸易有限公司 地址:上海市宝山区共和新路4727号新陆国际大厦1003-1007室 网站经营许可证 备案号:沪ICP备11005343号-12012-2019
万奢网主要专注于手表回收,二手名表回收/销售业务,可免费鉴定(手表真假),评估手表回收价格,正规手表回收公司,宝山实体店,支持全国范围上门回收手表
返回顶部